Hypertrofische cardiomyopathie
Door Joyce Ouderkerk |
Hypertrofische cardiomyopathie (cardio=hart; myopathie=spierziekte), kortweg HCM genoemd, is de meest voorkomende hartaandoening bij katten. Het komt voor bij alle (ras)katten, dus ook bij de Turkse rassen. Afgelopen maanden werd de Turkse Van gemeenschap opgeschrikt door een aantal sterfgevallen in Australië. Hierbij verdikken (hypertrofiëren ) de wanden van de linker kamer zich. Er is meestal sprake van een erfelijke aandoening, die autosomaal dominant met wisselende penetrantie en expressie wordt overgeërfd, d.w.z. dat iedere drager ziek wordt en de helft van zijn nakomelingen. Het ziektebeloop, moment stellen diagnose, optreden eerste verschijnselen en ernst van de ziekte, zal bij ieder individu verschillen.
Verdikking van de hartspier kan ook secundair zijn, d.w.z. ontstaan door een andere aandoening zoals bijvoorbeeld hoge bloeddruk en hyper-thyreoïdie *.
Veel onderzoek bij de kat is gedaan als vervolg op wat al bij de mens bekend was. HCM bij de mens is voor het eerst beschreven in 1958. Het komt bij 0,2 % van de bevolking voor. 60% hiervan is de familiale vorm. Inmiddels zijn 200 genmutaties in 10 verschillende genen gevonden.
De Maine Coon is het beste bestudeerd. Inmiddels is 1 mutatie bij dit ras gevonden. Recent is bij de Ragdoll een andere mutatie bekend geworden. Dit is een andere dan bij de Maine Coon. Sommige Ragdolls bezitten het foute gen dat als eerste bij de Maine Coon is gevonden. Het ziekteverloop is bij de Ragdoll o.h.a. ernstiger en treedt op een jongere leeftijd op, dan bij de Maine Coon.
Katers vertonen vaker ziekteverschijnselen dan poezen. De gemiddelde leeftijd waarop HCM wordt gediagnosticeerd is 6,5 jaar.
Pathofysiologie
Om de ziekteverschijnselen beter te begrijpen, is het handig te weten wat er met het hart gebeurt.
Door de veranderingen van de hartspier, deze wordt niet alleen dikker, maar ook de structuur verandert, wordt deze stijver en gaat de pomp-functie achteruit. Hierdoor neemt de bloeddruk in de linker kamer aan het eind van de vullingsfase (diastole) toe. Op dit moment staat de mitralis klep, die zich tussen de linker kamer en linker boezem bevindt, open. De druk in de boezem en in de longvaten zal dan ook toenemen. De boezem zal als reactie hierop wijder worden. In een vergrote boezem kunnen makkelijk stolsels ontstaan. Schiet een stolsel los, dan kunnen slagaders acuut afgesloten worden.
De papillairspieren doen ook mee met het ziekteproces. Hierdoor zullen de mitraalkleppen niet goed meer functioneren. Tijdens het samentrekken van het hart (systole), zal een deel van het bloed in de linker boezem terug-stromen. Dit veroorzaakt ook een vergroting van de linker boezem.
In een laat stadium zal ook het bloed onvoldoende het lichaam ingepompt worden. Hierdoor zal de functie van veel organen achteruit gaan.
Ritmestoornissen kunnen zowel in de zieke hartspier, als in de vergrote boezem ontstaan.
Verschijnselen:
- Totaal geen
- Lusteloosheid
- Slechte eetlust
- Vermagering
- Kortademigheid
- Snelle vermoeibaarheid
- Verlamming achterpoten
- Plotse dood
Bij lichamelijk onderzoek kan er met de stethoscoop een ruis, extra harttonen of een onregelmatig ritme gehoord worden. Let wel de luidheid van de souffle zegt niets over de ernst van de hartafwijking! Wanneer er hartfalen door verminderde pompwerking van het hart is, kan je bij auscultatie van de longen horen dat er vocht vastgehouden wordt. Door een verlaagd zuurstofgehalte kunnen de slijmvliezen en de binnenzijde van de oren blauw zien. Ook kan de buik t.g.v. vochtophoping uitgezet zijn.
In de verwijde linker boezem kunnen stolsels ontstaan. Deze kunnen in de bloedsomloop terecht komen en een afsluiting van een slagader veroorzaken. Is dit bij de splitsing van de lichaamsslagader in de beenslagaders (zadel-thrombus), dan kunnen de achterpoten verlamd raken.
Diagnose primaire HCM
Allereerst moeten secundaire oorzaken van cardiomyopathie worden uitgesloten (meten bloeddruk, bloedonderzoek)
Bloeddruk meten | Ultrasound onderzoek |
De diagnose kan alleen gesteld worden met een echocardiogram gecombineerd met kleuren Doppler.
Dit onderzoek zegt niet alleen iets over de beweging en grootte van de diverse hart-structuren, maar ook iets over het functioneren van het hart. De wanden van het normale hart zijn normaal 0,55-06 cm. Bij HCM is dit vaak meer dan 0,9 cm.
Verdikte wanden linker kamer | Flowmeting met Doppler |
Een Röntgenfoto van de borst laat een vergroot hart zien en wanneer er een pompprobleem van het hart (hartfalen) is overvulling van de longvaten en vocht in de borstholte.
Het electrocardiogram (hartfilmpje) kan o.a. ritmestoornissen laten zien en aanwijzingen voor zuurstof tekort van de hartspier.
Het is uiteraard ook mogelijk de diagnose bij een autopsie te stellen. Een aanwijzing kan al zijn, wanneer het hart meer dan 20 gram weegt. Microscopie laat een specifiek voor HCM beeld zien.
Behandeling
Er bestaat nog geen behandeling om HCM te genezen. Is de hypertrofie secundair, dan kan behandeling hiervan verbetering van de hartaandoening geven.
Afhankelijk van het stadium van de ziekte (asymptomatisch, ernstig hartfalen, afsluiting slagaders) kunnen diverse middelen worden gegeven.
Met als doel:
- verbetering hartfunctie
- afname verschijnselen hartfalen
- behandeling / preventie bloedstolsels
DNA onderzoek
Bij de Maine Coon en de Ragdoll staat er nu een DNA test ter beschikking. Deze sluit slechts 1 gen verantwoordelijk voor het krijgen van HCM uit. Dit sluit niet uit dat de kat HCM zal krijgen. Negatief geteste katten zullen echo-cardiografisch gevolgd moeten blijven worden, omdat bij de kat in navolging van de mens er ook sprake is van meer mutaties. Er is nog veel onderzoek nodig om te zien hoeveel pathologische genen er zijn en of ze allemaal ras-specifiek zijn.
Eigenaren van positief geteste katten d.m.v. een echocardiogram of het stellen van de diagnose na overlijden kunnen helpen HCM beter in beeld te krijgen. Ze kunnen materiaal voor onderzoek, zoals een uitstrijkje van het wangslijmvlies, sturen naar Dr. Leslie A. Lyons:
Department of Population Health & Reproduction: http://www.vetmed.ucdavis.edu/PHR/phr1.htm
in the University of California, Davis: http://www.ucdavis.edu/index.html
School of Veterinary Medicine: http://www.vetmed.ucdavis.edu/
Screening wanneer en door wie ?
HCM komt ook voor bij Turkse katten. Van de incidentie is weinig bekend. Weinig katten worden op dit moment d.m.v. ultrasound systematisch getest. Bij de Ragdoll wordt aangeraden vanaf de leeftijd van 1 jaar te gaan testen, bij de Maine Coon vanaf 2 jaar.
In Nederland worden de echo’s in het merendeel van de gevallen gemaakt door een dierenarts-radioloog, in België door een dierenarts-cardioloog. Zelf heb ik de voorkeur voor de laatste. Immers een radioloog kan, indien nodig, niet behandelen en een cardioloog wel.
M-mode met abnormale mitraalklepbeweging | (foto: Putcuyps) |
Met dank aan: Ingrid Putcuyps, dierenarts-cardioloog
Dierenartsenpraktijk Clos Fleuri
Kortrijksesteenweg 1089
B 9051 St Denijs Westrem, Belgium
Tel: 09/221 30 19 Fax: 09/222 95 20
ingrid.putcuyps@clos-fleuri.be
Foto van een hartecho
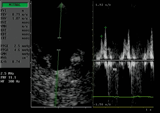
Doppler bij HCM:
Hierbij wordt het flow patroon door de mitraalklep zichtbaar gemaakt bij verminderde contractie van de hartspier. De pieksnelheid tijdens de vullingsfase is verminderd, de snelheid na de contractie van de linker boezem is toegenomen.
Dynamische outflow obstructie
Kleuren Doppler
Laat zien, dat het uitstroom-gebied van de linker kamer is vernauwd
Uitleg foto’s HCM
Verdikking vrije linker kamerwand
SAM HCM Systolic Anterior Motion is typisch voor HCM. Hierbij beweegt de mitraalklep naar voren tijdens het samentrekken van de linker kamer |
SAX LV study HCM
Voor meer informatie over HCM kunt u kijken op pawpeds:
Om uw testresultaten bekend te maken of om de testresultaten van andere katten van verschillende rassen in te zien kunt u kijken op: http://www.hcmtest.com
Tevens kunt u hier de adressen vinden van specialisten in Nederland, België en Duitsland die deze test kunnen afnemen.
Klik hier voor de lijst van erkende radiologen














